Slicer is a community platform created for the purpose of subject specific image analysis and visualization.
Cost / License
- Free
- Open Source
Platforms
- Mac
- Windows
- Linux




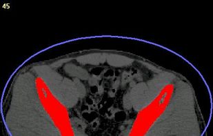
MedSeg is described as 'Online tool for AI-enhanced medical image segmentation of radiological images (CT and MRI). Works with DICOM and NIfTI using Chrome' and is an website. There are four alternatives to MedSeg, not only websites but also apps for Windows, Linux and Mac. The best MedSeg alternative is 3D Slicer, which is both free and Open Source. Other great sites and apps similar to MedSeg are AMIDE, InVesalius 3 and 3D-DOCTOR.
Slicer is a community platform created for the purpose of subject specific image analysis and visualization.




AMIDE is a completely free tool for viewing, analyzing, and registering volumetric medical imaging data sets such as SPECT/PET/CT. Renderization in 3D and much more...


InVesalius generates 3D medical imaging reconstructions based on a sequence of 2D DICOM files acquired with Computed Tomography or Magnetic Resonance images equipments.




3D-DOCTOR is an advanced 3D modeling, image processing and measurement software for MRI, CT, PET, microscopy, scientific, and industrial imaging applications.

